
如何辨识腹膜外积气及肠壁积气 | 经典影像
474x535 - 103KB - JPEG
全屏显示课程章节
1000x666 - 71KB - JPEG

如何辨识腹膜外积气及肠壁积气 | 经典影像
469x539 - 75KB - JPEG

小肠。彩色透射电子显微镜tem通过小肠壁的一
960x1280 - 641KB - JPEG

大肠壁的构造
650x534 - 20KB - JPEG

男子吞大枣致尖利枣核刺穿肠壁 - 百科教程网_
400x294 - 16KB - JPEG

食物的消化与吸收ppt
390x260 - 21KB - JPEG
全屏显示课程章节
1000x666 - 85KB - JPEG
全屏显示课程章节
1000x666 - 84KB - JPEG
全屏显示课程章节
1000x666 - 71KB - JPEG

小肠墙。通过人体小肠壁的一个切片的光显微图
1280x899 - 344KB - JPEG

误吞枣核肠壁刺穿 被异物卡住应及时就医切勿
440x331 - 16KB - JPEG

9岁女童贪玩误吞22粒磁力珠 致肠壁破6个洞险
550x308 - 195KB - PNG
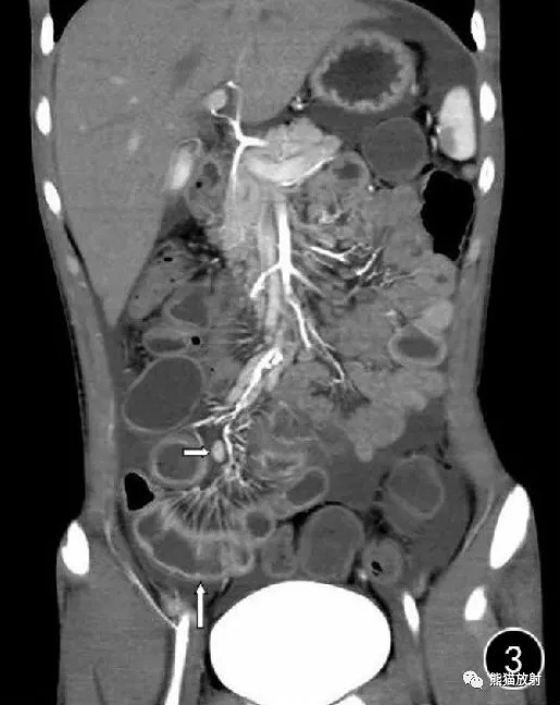
小肠肠壁增厚,CT小肠造影征象和诊断
515x648 - 36KB - JPEG
[深刻解读] 肠壁积气的征象、原因和意义(建议
541x603 - 33KB - JPEG
#7 回复wanghui_19552009-09-10 20:26:27 动态观察,隔两个小时再看看,有时肠管内的胎粪较多可见肠管暂时增宽,等胎粪排出,就不宽了,我遇见过。如一直增宽,考虑胎儿肛门狭
复查了,人家医生说这个正常的不用复查,查了也说不宽, 回复 鲜花 举报 7楼 我爱毛毛~: 宝妈,宝宝出生后怎么样还好吗,肠道没事把,我今天检查说部分肠管宽1.3cm担心中 亲,你
肠壁间隔不宽。肠曲至侧腹壁距离不宽。放射学诊断:新生儿肺炎,肠道动力性改变,右锁骨周围可疑致密影,建议随访。掉了一天水。请问我接下来我具体怎么操作!孩子会越来越
肝脏位置不清。腹部未见阳性结石和钙化。腹部膨隆,前腹壁下未见游离气体。肠曲普遍充气,部分呈管形,稍扩张,未见明显气-液平。肠壁间隔不宽。肠曲至侧腹壁距离不宽。 诊
患者年龄:二天问题描述:倒立侧位见直肠呈盲端样扩张,最远端达噱肛门体表3.5cm.余肠曲充气可,未见明显气一液平.肠壁间隔不宽.肠曲至侧腹璧距离不宽.胃管留置中! 有问必答
肝脏位置不清。腹部未见阳性结石和钙化。腹部膨隆,前腹壁下未见游离气体。肠曲普遍充气,部分呈管形,稍扩张,未见明显气-液平。肠壁间隔不宽。肠曲至侧腹壁距离不宽。 l
腹胀,有气体,肠管部分扩张,肠间隙不宽患病多久:一月内腹胀,部分肠管稍扩张,肠道间隙不宽,肠管充气可,可见散在液平用药情况:开塞露 钭金法大夫的个人网站toujinfa.haodf.com
肋膈角锐利。腹部未见阳性结石和钙化。前腹壁下未见游离气体。小肠和结肠部分充气,无明显扩张,侧位见数个浅液平。肠壁间隔不宽,肠曲至侧腹壁距离不宽。双侧腹脂线清晰
肋膈角锐利。腹部未见阳性结石和钙化。前腹壁下未见游离气体。小肠和结肠部分充气,无明显扩张,侧位见数个浅液平。肠壁间隔不宽,肠曲至侧腹壁距离不宽。双侧腹脂线清晰
肝脏位置不清。腹部未见阳性结石和钙化。腹部膨隆,前腹壁下未见游离气体。肠曲普遍充气,部分呈管形,稍扩张,未见明显气-液平。肠壁间隔不宽。肠曲至侧腹壁距离不宽。 诊