现在出生的宝宝就已经是足月儿了。胎宝宝现在的体重应该已有3200—3400克。现在 子宫并没有停止增大,不过高度却开始下降了。这是因为胎宝宝的头开始钻进妈妈的骨盆

23周胎儿取出做手术后放回子宫再出生 细数福
550x500 - 42KB - JPEG

产妇子宫破裂抢救4小时躲过死神 新生儿点赞
400x260 - 78KB - JPEG

23周胎儿取出做手术后放回子宫再出生 细数福
550x356 - 54KB - JPEG

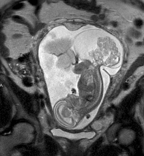
出生两次!美患病女婴被取出进行手术后放回子宫
550x595 - 65KB - JPEG

23周胎儿取出做手术后放回子宫再出生 细数福
550x355 - 50KB - JPEG

巴厘岛水下瑜伽 12米深水底体验子宫般舒适
650x897 - 242KB - JPEG

女子怀孕6月子宫为空 肚子剧痛竟然发现孩子长
348x225 - 13KB - JPEG

惊讶 这地方居然是男人的子宫
400x400 - 28KB - JPEG

胎儿16周被取出子宫手术 36周后健康出生(2)
780x438 - 30KB - JPEG

在妈妈子宫内接受心脏手术的宝宝出生 宫内手
540x359 - 29KB - JPEG

亚洲首例!在妈妈子宫内接受心脏手术的宝宝出生
550x365 - 29KB - JPEG

在妈妈子宫内接受心脏手术的宝宝出生 宫内手
540x359 - 33KB - JPEG

滥用保健品子宫肌瘤易复发
400x294 - 16KB - JPEG

摄影师10年拍摄子宫里的故事
500x609 - 53KB - JPEG

江苏东海成功摘除一巨型子宫肌瘤
550x418 - 82KB - JPEG