
市市政市容管理局--浅谈盆栽番石榴养护及病虫
300x210 - 16KB - JPEG

勇敢者游戏:马戏团演员钻大炮做人肉炮弹
566x850 - 64KB - JPEG

勇敢者游戏:马戏团演员钻大炮做人肉炮弹
950x633 - 160KB - JPEG

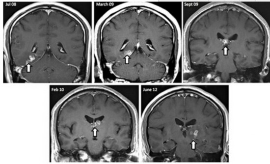
英男子脑中长罕见寄生虫头疼四年 人体十大寄
550x334 - 45KB - JPEG

寄生在狐中间宿主是啮齿类或食虫类动物幼虫期
411x337 - 240KB - JPEG
盾波蝇(Tumbufly)是非洲偏僻地区的一种昆虫,可以寄生在人的体内,是造成网上所流传的莲蓬乳的元凶。
也就是按蝇蛆形态分析,要么是盾波蝇要么是肤蝇,看着更像 人肤皮蝇(Dermatobia hominis)。肤蝇大家应该
造成乳房溃烂的真凶,是一种叫做“盾波蝇”的食肉蝇(英文名Tumbufly)。在盾波蝇的栖息地,蝇蛆病也可能是
盾波蝇,外文:Tumbu fly,中文翻译称作盾波蝇。盾波蝇的中文学名为人瘤蝇。是非洲偏僻地区的一种昆虫,
造成乳房溃烂的真凶,是一种叫做“盾波蝇”的食肉蝇。在盾波蝇的栖息地,蝇蛆病也可能是胸部溃疡的原因之一
恶心的寄生虫(盾波蝇攻占人体) 用微信“扫一扫”分享给好友或朋友圈 恶心的寄生虫(盾波蝇攻占人体) 本