
医学影像园-影像园-普放病例-请看一下胸片。
780x1040 - 101KB - JPEG

经典病例_慢性肺源性心脏病并发呼吸衰竭--男
379x487 - 24KB - JPEG

那些年,胸片在心血管疾病中的应用
564x521 - 21KB - JPEG

临床医学内科学考试试题.doc
993x1404 - 109KB - PNG
![[心胸]慢支炎肺气肿,肺心病](http://china-radiology.com/data/attachment/forum/201604/28/231824s9x59x9p3w9tbc3p.jpg)
[心胸]慢支炎肺气肿,肺心病
800x985 - 190KB - JPEG

医学影像园-影像园-普放病例-看看胸片
2180x2660 - 194KB - JPEG

「胸片」X胸片检查内容及检查注意事项
580x392 - 24KB - JPEG

医学影像园-影像园-普放病例-请看一下胸片。
780x1040 - 110KB - JPEG

第三节 肺原性心脏病(肺心病、缺氧、血管、心
212x189 - 22KB - PNG

【2017年整理】病历分析答题公式---快速写出
141x200 - 10KB - PNG

医学影像园-影像园-普放病例-请看一下胸片。
780x1040 - 58KB - JPEG

心电参考图技术总结报告.doc
141x200 - 13KB - PNG

心电图的技术小结汇报.doc
141x200 - 13KB - PNG

胸片指标科学解读与注意事项!
580x437 - 27KB - JPEG
胸片指标科学解读!
500x336 - 23KB - JPEG
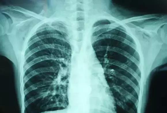
肺心病的胸片表现是可以根据医生的介绍进行了解的,病人应该及时就诊,在医生的介绍下进行辨别。
肺心病胸片表现肺炎性心脏病简称肺心病主要是由于支气管肺组织或肺动脉血管病变,所致的肺动脉高压引起的
后来去医院做了检查之后发现是肺心病。得了肺心病要怎么办才好呢?有问必答_寻医问药网
而肺心病在拍胸片的时候有哪些胸片表现?肺心病的胸片表现有: 1.X线检查。除肺、胸基础疾病及急性肺部感染
内科学94面说右下肺动脉干扩张…肺也叫心腰,肺动脉段突出一般提示右室增大 3、中央动脉扩张,好像是中心肺
心力衰竭与肺心病的x胸片,心力衰竭,心力衰竭的症状,充血性心力衰竭,慢性心力衰竭,急性心力衰竭,心力衰竭的
慢性肺源性心脏病(肺心病)的典型X线(胸片)表现是什么?胸部 X 线可表现出肺动脉压力升高的征象和右心室
在线互动式文档分享平台,在这里,您可以和千万网友分享自己手中的文档,全文阅读其他用户的文档,同时,也
PP波波时限:秒 振幅:(肢导联)((胸导联 44-VV 66 直立直立 avR avR导联 倒置倒置 其它导联直立、倒置