
牙结石是怎么形成的,牙结石的形成原因是什么
550x350 - 26KB - JPEG

马牙石是怎样形成的图片-17u1u.com
330x220 - 7KB - JPEG

牙结石长期附着在牙齿表面会导致牙周发炎,需
500x318 - 31KB - JPEG

牙结石是怎么形成的呢 - 王鑫 - 职业日志
560x260 - 14KB - JPEG

怎样去除牙结石 5大造成原因 - 民福康,三九养生
400x294 - 10KB - JPEG

【图】牙结石是怎样形成的 牙结石不清理会怎么样
400x262 - 9KB - JPEG

【图】有牙石不想洗牙怎么办 3种方法教你除去
414x426 - 6KB - JPEG

【图】几招教你如何消除牙结石 预防该症的几
400x400 - 30KB - JPEG
漫画|牙结石是如何从一个软妹变成硬汉的?
469x381 - 35KB - JPEG

这么大块的牙结石掉了怎么办?_19楼手机版
480x278 - 19KB - JPEG

快速消除牙结石的小方法,在家抽出5分钟就能搞
522x369 - 28KB - JPEG

牙结石有什么危害? 牙结石是如何形成的
600x416 - 57KB - JPEG

【牙结石导致牙齿松动】_牙齿松动_怎么治疗
500x368 - 30KB - JPEG

【怎么让牙结石脱落】【图】怎么让牙结石脱落
533x400 - 39KB - JPEG

怎样去除牙结石 5大造成原因_重庆时报-实况新
400x294 - 24KB - JPEG
那牙结石是怎么产生的呢?牙结石是指附着在牙齿表面的钙化块。它是在牙齿表面的牙菌斑基础上,由唾液中矿盐
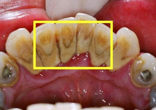
牙结石又称牙石,通常存在于唾液腺开口处的牙齿表面。如下颚前牙的舌侧表面,那么,牙结石是怎么产生的呢?
牙齿不可能平白无故地长石头,那么牙石究竟是如何形成的?也许很多人都不知道!牙结石牙结石要怎么处理?
牙结石形成的原因: 1.由于唾液中的二氧化碳浓度降低,促使无机盐沉淀于牙齿表面上。如何预防牙结石的形成?
牙结石,是因为每次吃完饭以后,只要在两个小时之内不清洁牙齿,牙面上就会形成附着牙菌斑。牙菌斑就是细菌
牙结石形成后,刷牙无法清除牙结石,需要到口腔科进行牙齿洁治。及时刷牙可以防止牙结石形成。
牙结石形成的速度、形态和硬度因人而异,一般来说新生的牙结石需要十二至十五小时。快速形成的牙结石要比