
右肺上叶前段结节灶毛刺征像约
357x299 - 15KB - JPEG
右肺上叶小结节,一月内迅速增大,穿刺取得病理
960x540 - 164KB - JPEG

右肺上叶结节,患者已手术,有病理【病理结果已
640x251 - 147KB - PNG
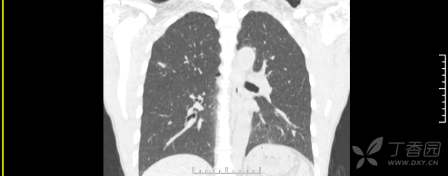
右肺上叶小结节一月内迅速增大,穿刺取得病理
960x526 - 206KB - JPEG
右肺上叶小结节一月内迅速增大,穿刺取得病理
569x292 - 45KB - JPEG

右肺上叶前段结节灶毛刺征像约
500x251 - 21KB - JPEG

右肺叶间胸膜处结节,考虑周围型肺癌,怎么冶疗
639x483 - 15KB - JPEG

右肺上叶前段结节灶毛刺征像约
400x298 - 9KB - JPEG

Fleischner指南关于肺结节的诊治_Fleischner指
435x200 - 84KB - PNG

两肺多原发癌
512x512 - 30KB - JPEG
肺窗示右肺上叶见一实性结节灶,大小约16×.
300x300 - 59KB - JPEG

单孔法全胸腔镜右肺上叶袖式切除术在山东大学
485x395 - 272KB - PNG

医学影像头条:支气管镜图谱三维立体解读
1280x960 - 76KB - JPEG

右肺上叶结节钙化灶是什么意思?_【快资讯】
500x375 - 27KB - JPEG

-病例会诊-15岁 ,外伤入院,胸骨断裂,右肺上叶团
512x512 - 32KB - JPEG
问题描述:(女,61岁)右肺上叶前段小结节,这是什么意思?医生回答(2) 病情分析:您好!通常CT报告上这样
右肺上叶尖段见一栗粒影,可能为肺部的炎性病灶,可能为 肺炎。同时也可能是肺部的 囊肿 由于无法确定栗粒
影像学所见:右肺上叶可见少许班片状密度增高影,2、右肺上叶前段小结节,请问这是什么病?应该如何治疗?
问题描述:影像学所见:右肺上叶可见少许班片状2、右肺上叶前段小结节,请问这是什么病?应该如何治疗?
问题分析:你好,看你说的情况,如果只是肺结节,而没有任何症状,那要看结节的位置和大小,这时看也有可能
右肺上叶前段小结节灶是什么意思?肺部结节是一种病理特征,说明存在异常,结节可能是炎症,但也可能是肿瘤
右肺上叶前段可见一个小结节灶,边缘清楚,余双肺清晰,未见异常密度影,双肺支气管血管束形态,分布未见
专家你们好、我这次在兰州做胃镜查出、痘疹性胃炎伴胆汁反流、在海南因为胃不舒服、上腹涨的很、医生叫我做
健康咨询描述:右肺上叶前段见病情分析: 你好根据你的描述,引起上述症状的原因很多,须明确诊断。指导