高度近视引起的眼底病变怎么办曾, 会员21908873 女 50岁 2015-09-10 09:47:02 病情描述(发病时间、主要
近视度数超过600度的近视即称为高度近视。高度近视可引起多种眼底病变,其治疗方法因人而异:1、对于视网膜
高度近视可引起白内障、黄斑病变、视网膜脱离等都会使视力下降,且戴镜无法矫治到最佳视力,应该及时看医生
近视根据度数不同分为目前临床上治疗高度近视眼底病变多采用手术治疗、抗VEGF药物治疗等,治疗效果较好。
高度近视患者较一般近视患者症状表现的更明显,高度近视患者眼球明显变长,向外突出,前房较深。眼底一般常
高度近视不一定会出现严重的眼底病变,如果有人因为高度近视导致脉络膜、巩膜延长,出现脉络膜萎缩,黄斑

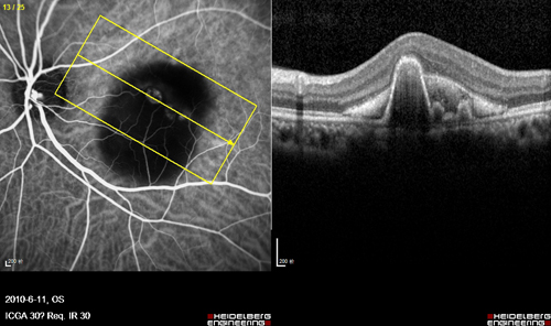
眼科OCT检查技术简介-天津中医一附属医院-站群
500x296 - 114KB - JPEG

ICL是否适宜矫正高度近视?
400x291 - 30KB - JPEG

散光和近视有什么区别?哪个更危险?
400x355 - 77KB - JPEG

高度近视眼底病变(吕林)【电子书籍下载 epub
280x280 - 24KB - JPEG

【高度近视眼底病变 吕林\/\/陈星|:吕林 人民卫生
376x623 - 39KB - JPEG

规范眼内注射让眼底病患者受益(图)
331x220 - 7KB - JPEG

警惕!高度近视已向低龄化发展|近视|睫状肌
399x300 - 76KB - JPEG

高度近视当心引发视网膜脱落
1023x720 - 136KB - JPEG

高度近视眼底病变\/吕林图片
800x800 - 52KB - JPEG

高度近视眼底病变\/常见眼底外科疾病知识问答
800x800 - 64KB - JPEG

眼睛变形、眼球突出…高度近视的眼底会有什么
640x500 - 38KB - JPEG

【高度近视眼底病变\/常见眼底外科疾病知识问
800x800 - 32KB - JPEG
高度近视发生眼底病变的危险因素及预防对策-
976x1340 - 165KB - JPEG

高度近视眼底病变
188x220 - 10KB - JPEG

高度近视眼底病变图片
800x800 - 65KB - JPEG