减肥,找哪科的医生。 7c31ea57da1d 女 18岁 减肥,找哪科的医生。 标签: 减肥 省地区 目前减肥较理想的方法是中医经络燃脂减肥,一些大型的美容机构已引进该技术,如美容

减肥进展有多快?医生说看你6分钟能走多远
640x427 - 22KB - JPEG

减肥养生:医生推荐六种蔬菜极速瘦身(组图)
378x288 - 17KB - JPEG

如何能有效科学减肥 专业减肥医生教你10个动
296x315 - 77KB - JPEG

明列子减肥PK吸脂减肥 哪种更靠谱|减肥|明列子
500x489 - 32KB - JPEG

模特减肥竟吞棉花医生警告危险莫试
405x600 - 22KB - JPEG

专业减肥医生教你10个动作
299x316 - 14KB - JPEG

专业减肥医生教你10个动作
289x341 - 12KB - JPEG

杨紫的减肥餐看得人毫无食欲,林心如减肥全靠
550x439 - 22KB - JPEG

减肥过度可能易变秃头 医生称因营养摄取不均
400x248 - 63KB - JPEG

杨紫的减肥餐看得人毫无食欲,林心如减肥全靠
640x857 - 63KB - JPEG

英国模特瘦身达到逆天腰围 巨乳蛮腰遭医生警
550x500 - 54KB - JPEG

产后瘦身看杨幂 透视小短裙穿的腿长腰细
640x426 - 56KB - JPEG

女白领迷上 看图减肥 看特定抽象画能抑制食欲
400x300 - 59KB - JPEG

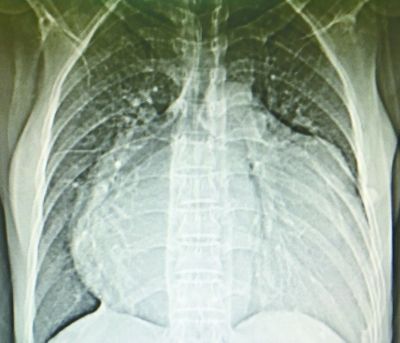
心脏大得像足球 医生妙手瘦身
400x343 - 21KB - JPEG

专业减肥医生教你10个动作
297x308 - 10KB - JPEG