
肺磨玻璃密度结节处理,牢记这六点足矣!
293x220 - 9KB - JPEG

非典型恶性磨玻璃结节(GGO)的表现
547x339 - 43KB - JPEG

不规则磨玻璃密度结节
1500x1500 - 211KB - JPEG

非典型磨玻璃结节(GGO)的表现 - 好大夫在线 ·
886x626 - 48KB - JPEG

体检发现左肺下边缘实性5mm结节,是小肺癌吗
640x427 - 25KB - JPEG
一文读懂:肺部磨玻璃影结节早期诊断
741x828 - 61KB - JPEG

想轻松玩转机化性肺炎的诊治,先搞定这些!_隐
505x402 - 138KB - PNG

【专家谈】体检发现肺结节,是癌症吗?治还是不
514x362 - 23KB - JPEG
什么是结节与小结节?
640x426 - 18KB - JPEG
胸外科医生看过来,这些磨玻璃样改变可能提示
300x206 - 13KB - JPEG

左下肺结节是肺癌吗
480x300 - 60KB - JPEG

肺部结节是怎么回事
500x364 - 22KB - JPEG
吐血3天发现肺肿瘤,切下来后医生乐了:好事,这
564x333 - 28KB - JPEG

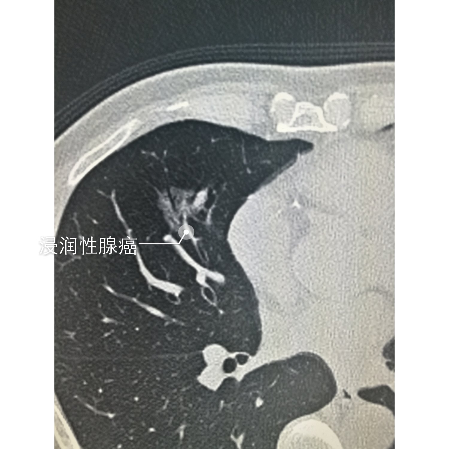
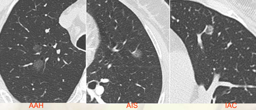
MSCT在肺腺癌亚型分型中的临床应用
861x369 - 80KB - JPEG
非特异性间质性肺炎
430x546 - 12KB - JPEG
胸廊对称,左上肺磨玻璃病灶,形态不规则,边缘尚清,其规格16.6X11.4mm,其内密度欠均匀,局部胸膜粘连,
两肺上叶多发磨玻璃结节。左肺有个结节毛刺状,有数据报道出来一般不规则密度的结节恶性的可能性比较大
1.左肺下叶不规则结节 2.右肺上叶后段磨玻璃密度结节,考虑恶性病变可能性大。3.右肺上叶后段实性结节影,
以GGO为主要特点的肺部结节称为磨玻璃结节(GGN)。磨玻璃结节也称毛玻璃结节,是肺结节的一种表现形式。从
元芳,多数磨玻璃结节是比较典型的病例,多数纯磨玻璃结节的特点的是,病灶成形,边缘光整。有些少见的磨
最近身体不好,去医院检查了检查所见:双侧胸廓饱满,双肺血气管纹理增多,右肺上叶见一不规则磨玻璃密度
右肺上叶见一不规则磨玻璃密度结节,怎么治疗?传染科 向他提问 已进一步确定检查,考虑肺部有结节肿物。
请拍照上传检查片子,以便医生了解病情,给出诊疗建议。建议查结核和肿瘤相关指标,有条件可以做PET(南京
肺磨玻璃结节 母亲去年10月单位体检,肺部左肺上叶尖后段见一不规则磨玻璃样斑片灶,大小约17*11*19,10月