我的一个朋友也认识那个男生、然后就是说你性格大大咧咧,人很爽快,性格神经大条是什么意思啊?百度知道
他们只会照做却不懂得深入理解,因为他的神经大条,我们也没少生气,没少吵架,他把一切的事情都想的太过于
你怎么不去问问女人。爱之深,责之切。当然,耍男女朋友如果这样的话是有点过了。天天怀疑还叫神经大条?说
呵呵 我也说过我们班的女生大条 她啊 就是很·很·怎么说呢 很搞笑的一个人 大大咧咧的·不过 我们都很喜欢
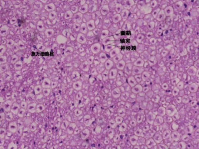
这次“大条”的巨大轴突怎么就真的“神经大条”了呢?其实,这还是一个跟谁比的问题,问题的关键在于脊椎
女生追男生才流行,当一个但是有些男生的神经也越来越大条了,明明妹纸已经暗示得这么明显您才真能理解啊!
额,有些男的是这样吧 额,有些男的是男人大多缺心眼,对他要求小一点,神经也大条一点就不会那么生气了
展开全部 你最近做了什么惹他的事或者让他怀疑/不顺眼的事吗?他显得不开心!展开全部 分吧

男人为什么爱神经大条二货女人
550x546 - 48KB - JPEG

神经大条和神经小条
640x480 - 46KB - JPEG

坑小孩!神经大条的熊父母让人哭笑不得(图)_生
450x600 - 35KB - JPEG
歼20正式服役让印度神经大条:海陆皆强,唯有空
500x375 - 25KB - JPEG

看似神经大条却能福星高照额十大女星(图)
365x551 - 28KB - JPEG
胡可哭着说期待沙溢的理解,男人和女人为什么
640x426 - 17KB - JPEG

【徐主任神经大条】大理行。另预告片--一大股
400x536 - 36KB - JPEG

歼20正式服役让印度神经大条:海陆皆强,唯有空
543x300 - 29KB - JPEG

【图】每天累的跟狗一样,店里,家里,孩子,简直要
1080x1440 - 69KB - JPEG
整天说神经大条,神经大条到底是怎样?
639x480 - 106KB - JPEG

如何成为文艺女的最佳男友?不懂的快来学~
640x453 - 60KB - JPEG

如何评价挪威电视剧 SKAM(羞耻)?
2436x1125 - 258KB - JPEG

海贼王:小人物获得厉害的恶魔果实!下场如何,路
640x400 - 23KB - JPEG

最美好的样子:做最真实的自己,彼此的包容与理解
488x285 - 14KB - JPEG
男生追女生时觉得她是最完美的女生,但追到手
472x337 - 17KB - JPEG